 
                
诊疗项目:牙齿美容、洗牙/洁牙、牙齿美白、美容冠、牙齿矫正、牙贴面、种植牙、牙齿治疗、口腔治疗
医院地址:济南市历下区文化东路53号
发布时间:2025-10-30 11:07:06
济南凯旋美奥口腔门诊部是卫生部门审批成立的正规口腔机构,以下将从多个方面为您详细介绍这家值得信赖的济南凯旋美奥口腔门诊部。

济南凯旋美奥口腔门诊部是一家正规的私立口腔医疗机构。它于2020年成立,经济南市场监管局批准设立。门诊部建筑面积约2200平方米,整体布局合理,装修温馨舒适。医院秉持严格的消毒标准,采用进口消毒灭菌设备,遵循国内外JCI消毒标准,避免交叉感染。其作为美奥口腔连锁机构之一,美奥品牌实力雄厚,在多地建成近40家口腔医疗机构。在当地,济南凯旋美奥口腔门诊部积累了良好的口碑,赢得了众多顾客的信赖。

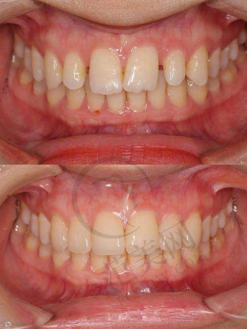
济南凯旋美奥口腔门诊部擅长多种口腔诊疗项目。开展了牙齿种植、牙齿矫正、牙齿修复、牙齿美容、牙周治疗、儿童齿科等特色齿科诊疗项目。在牙齿种植方面,医生能根据患者情况制定个性化种植方案,确保种植成效自然、稳固。牙齿矫正项目中,通过精良的口腔扫描设备了解患者牙齿排列情况,制定精细矫正方案,缩短矫正时间。在儿童齿科方面,环境温馨,医生有耐心,能让孩子在轻松的氛围中接受治疗。同时,对于补牙、根管治疗、地包天矫正等项目,济南凯旋美奥口腔门诊部也有丰富的经验和不错的技术。

济南凯旋美奥口腔门诊部位于山东省济南市历下区文化东路53号,这里交通便利。若选择公共交通出行,可乘坐公交车到达附近站点,然后步行几分钟即可到达。周边有多条公交线路经过,方便患者前来就诊。此外,门诊部还设有专属停车场,自驾前来的患者也能轻松解决停车问题。患者可根据自己的实际情况选择合适的交通方式到达济南凯旋美奥口腔门诊部。

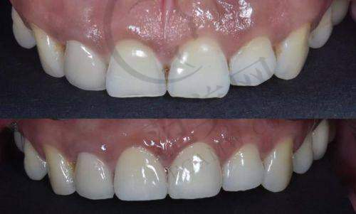
济南凯旋美奥口腔门诊部的特色项目优势明显。牙齿种植项目,由牙齿种植学博士、中华口腔医学会口腔全科分会委员吴高义院长带领原济南军区总医院(90医院)医疗团队亲诊,技术实力雄厚。医生会根据患者的口腔情况和身体状况,制定专属的种植方案,确保种植成效自然、稳定。牙齿矫正项目,利用精良的口腔扫描设备,能严谨掌握患者牙齿的排列和咬合情况,制定出精细的矫正方案,有效缩短矫正时间。牙齿修复项目,提供多种修复方式,如威兰德全瓷牙、二氧化锆烤瓷牙等,修复后的牙齿美观耐用。儿童齿科项目,诊疗环境温馨,医生对孩子有耐心,能让孩子在轻松愉快的氛围中接受治疗。

济南凯旋美奥口腔门诊部对医生队伍选用要求严格,注重专精人才储备。拥有国内外口腔医学博士76位,公办医院口腔机构主事级大神32位,医护人员超1200人,医生平均经验超10年。吴高义院长是牙齿种植学博士、中华口腔医学会口腔全科分会委员,带领原济南军区总医院(90医院)医疗团队亲诊,技术实力雄厚。医生们擅长的领域广泛,涵盖牙齿种植、牙齿矫正、牙齿修复等多个方面,能为患者提供全方面的口腔诊疗服务。

济南凯旋美奥口腔门诊部资质优良。它是中华口腔医学会全科口腔分会委员单位、国内整形美容协会牙颌颜面医疗美容理事单位等。这表明该门诊部在口腔医疗领域得到了业界的广泛认可。门诊部严格遵循卫生部门的相关规定,采用一患一医一机一用一消毒的诊疗服务模式,确保患者的就医安心。同时,还开展预约提醒、全程陪护、定期回访、无假日门诊等特色服务,为患者提供优质、便捷的医疗体验。

济南凯旋美奥口腔门诊部在当地口碑良好,特别多患者都给予了高度评价。以下是两则顾客实例:
顾客A:“我之前牙齿特别不整齐,一直想矫正。来到济南凯旋美奥口腔门诊部后,医生非常专精,耐心地为我制定了矫正方案。在矫正过程中,医护人员的服务也特别贴心,会定期提醒我复诊。现在我的牙齿变得整齐多了,真的特别感谢这里的医生和护士。”
顾客B:“我带孩子来这里看牙,儿童牙科的环境特别温馨,孩子一点都不害怕。医生特别有耐心,仔细地检查了孩子的牙齿,还教给孩子正确的刷牙方法。以后孩子看牙就认准济南凯旋美奥口腔门诊部了。”

济南凯旋美奥口腔门诊部收费有明确标准,秉持无拆分保护,无隐形消费。具体收费如下:韩国进口种植牙2980元起一颗,金属托槽矫正6980元起,全瓷牙冠1500元起,拔智齿280元起。儿童牙齿清洁收费价格129元起,牙贴面修复收费价格487元起,保牙髓治疗收费价格1165元起。树脂窝沟封闭收费价格50元起,拔牙牙龈翻瓣收费价格108元起。此外,口腔检查收费在90 - 121元,牙颌畸形矫正收费在9684 - 22749元,美国百康种植牙每颗收费7971 - 16075元。双11期间美国ormco奥美科自锁托槽有优惠活动。
综上所述,济南凯旋美奥口腔门诊部凭借其专精的医生团队、精良的医疗设备、优质的服务和合理的收费,为患者提供了全方面的口腔诊疗服务,是值得患者信赖的口腔医疗机构。
 
                        
评价(已有0人点评)