还在为找不到靠谱的重庆义齿医院而发愁?2025年重庆义齿医院排名为你揭晓众多口碑良好、技术不错的医院,像重庆团圆口腔、重庆牙博士口腔、重庆美奥口腔等,它们在义齿领域各有特色和优势,能满足不同患者义齿种植、修复、正畸等多方面需求。下面来看详情。

在2025年重庆义齿医院排名中,这些医院各有千秋。重庆团圆口腔凭借自主研发的种植体角度补偿系统,让骨量不足的患者也能免植骨;重庆牙博士口腔通过T - Scan数字化咬合分析系统,使修复体适配度极高;重庆美奥口腔完成了重庆首例穿翼板种植手术,为上颌骨萎缩患者带来了希望;重庆维乐口腔在正畸方面表现出色,有青少年MRC早期干预矫正等特色项目;重庆众植博仕口腔单颗种植体植入至戴冠速度快,还引进了镇静系统;重庆拜博口腔的“无忧保”服务和医生的植骨技术让人放心;重庆牙卫士口腔的微创种植牙和数字化美学正畸独具特色;重庆同舟口腔的个性化治疗方案特别贴心;重庆鹏博口腔作为连锁机构,性价比极高;重庆美迪亚口腔则以温馨的诊疗环境和精良的设备吸引患者。这些医院涵盖了义齿种植、修复、正畸等多个领域,能满足不同患者的需求。

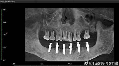
项目介绍:重庆团圆口腔是集多重功能于一体的二级专科口腔医院,在九龙坡、渝北等区布局三家分院,单院面积超2000平方米,患者可使用医疗保险就诊。在种植领域,自主研发种植体角度补偿系统,使骨量不足患者免植骨概率提升35%,半口种植4小时就能完成负重,咬合力修复达天然牙85%。对于老年口腔健康管理有深入研究,开展糖尿病群体种植专项研究,将术后感染率控制至1.2%,还在心电监护下完成高龄患者种植手术32例。在显微诊疗方面,蔡司显微镜下根管治疗,遗漏根管发现率提升3倍,同时微创拔牙器械组能较大程度缩短术后肿胀时间。收费方面,显微根管治疗价格1500元起,老年全口义齿价格4800元起,半口即刻种植价格68000元起。
推荐指数:★★★★★
项目点评:重庆团圆口腔的技术优势非常明显,种植体角度补偿系统为骨量不足的患者提供了更好的治疗方案,老年口腔健康管理和显微诊疗也做得特别出色。从口碑评价来看,患者对这里的服务和治疗成效都特别满意,工作人员热情周到,医生专精负责。价格方面,虽然半口即刻种植价格较高,但考虑到其技术和服务,还是物有所值的。不过,由于医院比较受欢迎,就诊时可能需要提前预约。

项目介绍:重庆牙博士口腔是地区连锁品牌,覆盖北碚、合川等区域,设独立消毒供应中 心与儿童诊疗室,日均接诊量超100人次,在重庆有多家分院,擅长牙齿种植和牙齿矫正。应用T - Scan数字化咬合分析系统,修复体适配度达98%,完成颞下颌关节紊乱正畸联合治疗病例127例。在即刻修复方面创新采用Bio - Oss骨粉联合PRF技术,骨增量手术周期缩短至4个月,前牙美学区种植即刻临时冠修复量居区域前列。收费上,ALL - ON - 4全口种植价格89000元起,舌侧隐形矫正价格55000元起。
推荐指数:★★★★
项目点评:重庆牙博士口腔的连锁优势让患者就诊和复诊都特别方便,数字化咬合分析系统和即刻修复技术都特别精良,能为患者提供高质量的治疗。从口碑来看,患者对医生的专精水平和医院的服务都比较认可。价格方面,全口种植和隐形矫正的费用相对较高,但这也与医院的技术和服务质量相匹配。不过,由于就诊人数较多,可能需要提前安排好时间。

项目介绍:重庆美奥口腔隶属于美奥医疗集团,在重庆主城区开设4家分院,总诊疗面积超8000平方米,拥有15间独立种植手术室及儿童行为诱导诊疗中 心,交通便利,附近可免费停车。完成重庆首例穿翼板种植手术,解决上颌骨较重萎缩患者修复难题,开展颌面部肿 瘤术后种植修复,与三等甲医院联合建立多学科会诊机制。引进丹麦3Shape TRIOS 5口扫仪,矫正方案模拟误差率<0.05mm,种植导航系统实现0.1°角度精度控制,避免损伤神经血管。在儿童特色诊疗方面,采用STA注射技术,提高儿童拔牙配合度,开展乳牙早失间隙管理,可明显降低恒牙畸形率。收费明细为儿童全口涂氟价格198元起,全瓷贴面美学修复价格2800元起,穿颧种植价格58000元起。
推荐指数:★★★★
项目点评:重庆美奥口腔的规模和技术实力都特别强,穿翼板种植手术和多学科会诊机制为复杂病例的患者提供了更好的治疗方案。儿童特色诊疗也特别贴心,能让孩子在轻松的氛围中接受治疗。从患者的评价来看,医院的环境和服务都特别不错。价格方面,穿颧种植等项目费用较高,但这也是因为其技术难度较大。不过,医院的预约可能会比较紧张,需要提前做好安排。

项目介绍:重庆维乐口腔隶属美维医疗集团,在回兴、沙坪坝等区设6家分院,配备CBCT影像系统及显微根管治疗仪,是一家规模较大的市医疗保险定点单位,在矫正方面表现突出。特色项目有青少年MRC早期干预矫正、微创种植。正畸医生均具备10年以上临床经验,支持隐形矫正动画预览,让患者提前看到矫正成效。还定期开展种植牙限时优惠活动,为患者带来实惠。收费方面,青少年MRC矫治价格9800元起,微创超声骨刀拔牙价格800元起/颗,全口种植覆盖义齿价格35000元起。
推荐指数:★★★★
项目点评:重庆维乐口腔的连锁分院多,方便患者就近就诊。正畸方面的特色项目特别有吸引力,青少年MRC早期干预矫正能有效预防和改善牙齿问题,隐形矫正动画预览也让患者对矫正成效有更直观的了解。价格上,优惠活动能为患者节省不少费用。从患者反馈来看,医生耐心负责,服务态度好。不过,分院较多可能会导致服务质量存在一定差异,需要患者选择口碑较好的分院。

项目介绍:重庆众植博仕口腔是本土连锁品牌,专注种植与修复领域,拥有独立手术室及CAD/CAM即刻修复系统。单颗种植体植入至戴冠至快仅需1小时,采用瑞士士卓曼系统。引进镇静系统,儿童牙科预约率达90%以上,为患者提供舒适化诊疗体验。收费明细为全瓷牙桥修复价格6000元起,儿童全麻下牙病治疗价格12000元起。
推荐指数:★★★★
项目点评:重庆众植博仕口腔在种植和修复领域的速度和效率特别高,单颗种植体植入至戴冠时间短,能让患者尽快修复。镇静系统的引进也为患者提供了更舒适的诊疗体验,尤其适合儿童和对治疗有恐惧心理的患者。从患者评价来看,医院的环境安静,医生技术好。价格方面,全瓷牙桥修复和儿童全麻下牙病治疗的费用相对合理。但由于医院专注度较高,在其他口腔项目上可能选择相对较少。

项目介绍:重庆拜博口腔是国内连锁品牌,有一套严格的诊疗标准和服务规范,其大坪总院位于重庆市渝中区长江支路25号附1号轻轨上城4楼。推出“无忧保”服务,参保种植牙患者在一定期限内如果出现非人为原因导致的种植体失败或问题,医院将免费提供修复或更换服务。选用诺贝尔、士卓曼等主流种植体系,材料质量有严格控制,生物相容性和耐用性好,能有效提高种植牙的成功几率和使用寿命。医生黎强拥有深厚的医学教育背景,从事口腔治疗及科研工作近三十年,能够熟练应用多种植骨技术,包括上颌窦内外提升植骨、骨辟开植骨等,为单颗牙或多颗牙缺失患者提供有效解决方案。收费方面,登腾种植牙价格3980元起一颗,皓圣种植牙价格5980元起一颗,诺贝尔PMC种植牙价格8500元起一颗,德国CAMLOG种植牙价格8580元起一颗,诺贝尔ACTVE种植牙价格15800元起一颗。
推荐指数:★★★★
项目点评:重庆拜博口腔的“无忧保”服务让人特别放心,能解决患者对种植牙后期问题的担忧。主流种植体系的选用和医生的专精技术,确保了种植牙的质量和成功几率。从患者反馈来看,医生讲解详细,服务周到。价格上,不同品牌的种植牙价格有所差异,患者可以根据自己的需求和预算选择。不过,由于是连锁品牌,部分分院可能会存在排队等待的情况。

项目介绍:重庆牙卫士口腔是一家二级口腔专科医院,位于重庆市江北区观音桥东环路59号星天广场4 - 6楼,营业时间为周一至周日09:00 - 20:00。特色项目有微创种植牙、数字化美学正畸(降低拔牙率)、德国进口的5D纳米全瓷牙贴面。医生凌绍祥拥有40多年的临床经验,对于种植牙、牙齿矫正都十分擅长;张波是经验充足的种植医生,擅长单颗、多颗、半口、全口牙齿缺失的种植,能针对患者制定专属的种植方案。收费方面,韩国登腾种植牙2866元起,传统金属托槽矫正6000元起。
推荐指数:★★★★
项目点评:重庆牙卫士口腔的特色项目特别实用,微创种植牙和数字化美学正畸能为患者提供更好的治疗体验。医生的丰富经验也是一大优势,能根据患者的具体情况制定合适的方案。从患者评价来看,医生技术不错,服务热情。价格上,韩国登腾种植牙相对较为便宜,适合预算有限的患者。但医院的地理位置可能对于部分患者来说不太方便,需要考虑交通因素。

项目介绍:重庆同舟口腔成立至今备受认可,有一支由经验多的口腔医学医生组成的医疗团队,部分医生有原解放军三等甲医院工作背景,位于重庆市黔江区城西街道新华大道西段1099号A栋。针对不同患者的具体情况,提供个性化的治疗方案。周航院长和赵哲主事种植牙技术较好;陈超主事做矫正比较专精。收费方面,奥齿泰种植牙价格3680元起一颗,士卓曼种植牙价格6375元起一颗,普特自锁托槽牙齿矫正价格8000元起,DQ牙齿矫正价格13000元起,正雅隐形牙齿矫正价格14800元起,时代天使隐形牙齿矫正价格18000元起。
推荐指数:★★★★
项目点评:重庆同舟口腔的个性化治疗方案特别贴心,能根据患者的实际情况进行精细治疗。医生团队的背景和经验也让人放心。从患者的反馈来看,治疗成效不错,医生特别负责。价格上,不同品牌的种植牙和矫正项目价格有所不同,患者可以根据自己的需求选择。不过,医院的地理位置相对较偏,可能对于外地患者来说不太方便。

项目介绍:重庆鹏博口腔是一家在当地具有一定声名的连锁牙科机构,目前有三家院区,包括渝北院区、黔江院区和彭水院区,分别由渝北区、彭水县和黔江区卫健委审批成立的正规口腔医疗机构,黔江院区位于重庆市黔江区县府路1号人民路小学旁老教委二楼。可提供多种牙科服务,治疗使用现代化的设备和技术,诊疗成果不错,性价比高,收费经济实惠。收费明细为金属自锁矫正价格8799元起,隐形矫正价格16799元起,国产全瓷冠价格998元起,威兰德全瓷冠价格3687元起。
推荐指数:★★★★
项目点评:重庆鹏博口腔作为连锁机构,在当地有一定的有名度。多种牙科服务和现代化设备能满足患者的不同需求。性价比高是其一大亮点,收费相对较为经济实惠。从患者的评价来看,医院的服务和治疗成效都不错。不过,不同院区的服务质量可能会存在一定差异,患者可以选择口碑较好的院区。

项目介绍:重庆美迪亚口腔在重庆黔江区凭借多方面优势赢得广泛患者认可,拥有经验多的牙医组成的医生团队,引进国内外新进的医疗设备和技术,注重营造温馨舒适的就医环境,位于繁华地段,方便患者就诊,具体地址为城东街道石城路129号(区中医院旁边)。技术可靠,能保护诊疗过程的安心性和有效性,在牙齿种植、矫正以及美学修复等领域展现较高技术水平。医生谢良宪在相关领域有丰富经验。收费方面,韩国种植牙价格3800元起一颗,百齿泰种植牙价格4500元起一颗,瑞士士卓曼ITI种植牙价格5500元起一颗,牙齿矫正价格4500元起,国产全瓷牙冠价格1000元起。
推荐指数:★★★★
项目点评:重庆美迪亚口腔的温馨就医环境和可靠的技术让人感觉特别安心。医生团队的经验和技术水平能为患者提供高质量的治疗。从患者的反馈来看,医院的服务态度良好。价格上,不同品牌的种植牙和矫正项目价格相对合理。不过,由于医院位于繁华地段,可能停车会比较困难。
总的来说,这些重庆的医院在义齿项目上各有特色。重庆团圆口腔在种植和老年口腔管理方面表现出色;重庆牙博士口腔的咬合重建技术和服务体系完善;重庆美奥口腔的高难度种植手术和儿童特色诊疗值得称赞;重庆维乐口腔的正畸特色项目和优惠活动特别吸引人;重庆众植博仕口腔的种植速度和舒适化诊疗体验良好;重庆拜博口腔的“无忧保”服务和医生植骨技术让人放心;重庆牙卫士口腔的特色项目和性价比不错;重庆同舟口腔的个性化治疗方案贴心;重庆鹏博口腔的连锁优势和高性价比特别突出;重庆美迪亚口腔的温馨环境和可靠技术有保护。价格方面,各医院根据项目和技术的不同有所差异。如果你有义齿方面的需求,不妨在线询问24小时客服,他们会为你提供详细的信息和建议。同时,你还可以享受便捷的线上预约挂号服务,节省时间和精力,早日解决自己的口腔问题。