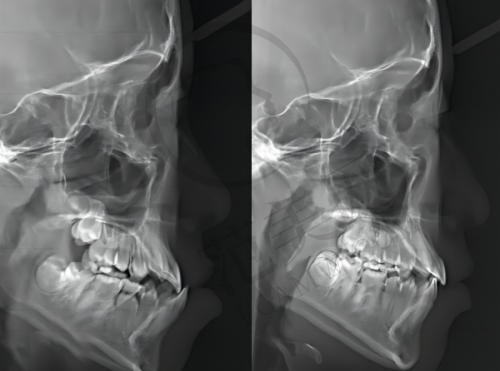
# 无锡下颌骨矫正医院价格对比全解析 在无锡,下颌骨矫正相关手术备受关注,不同医院的价格存在一定差异。无锡第二人民医院整形美容科下颌缩骨 35459 元起,江阴人民医院整形美容外科 39012 元起,无锡南医大友谊整形医院 25805 元起等。下巴截骨手术方面,江苏宜兴华星医疗美容 15398 元起。正颌手术中,无锡市第二人民医院口腔科不同项目价格在 1.5 - 4 万元不等,无锡牙博士口腔不同类型正颌手术价格在 12 - 35 万元。下颌角削骨价格各医院也有所不同。下颌骨矫正手术价格受手术方式...
日期:2025-10-30
# 重庆韩国登腾Dentium2025价格表:一站式了解种植牙费用 在重庆,牙齿缺失患者若考虑韩国登腾Dentium种植牙,对其2025年价格会十分关注。综合资料,该种植牙价格受种植方式、型号、口腔机构等因素影响。单颗种植牙价格大致在1580 - 7000元;不同型号价格分层明确,从基础款到高端款递增;半口/全口修复方案费用跨度大,经济型到高端款可满足不同患者需求;各口碑口腔机构也有特色报价。接下来将详细解读重庆韩国登腾Dentium2025价格表。...
日期:2025-10-30
重庆有不少治疗上颌前突表现出色的医院,如重庆医科大学附属口腔医院、陆军军医大学第一附属医院、重庆医科大学附属第一医院、陆军军医大学新桥医院、重庆大坪医院、重庆医科大学附属第二医院、重庆市人民医院、重庆市中医院、重庆市公共卫生医疗救治中心、中国人民解放军陆军第九五八医院等。这些医院各有特色,重庆医科大学附属口腔医院有53位上颌前突专家,擅长各类牙颌畸形治疗;陆军军医大学第一附属医院是三甲综合医院,医疗资源丰富;重庆医科大学附属第一医院专业设置齐全,采用多学科协作治疗;陆军军医大学新桥医院有10个国...
日期:2025-10-30
重庆有不少可做牙齿整形的医院。重庆美奥口腔医院是正规二级口腔专科医院、国内连锁,半口全口种植牙及隐形、固定矫正成绩佳;重庆成佳牙博士口腔医院是本地大型连锁牙科,能将正畸与面部美学设计结合;重庆牙卫士口腔医院是老牌牙科,种植牙和矫正价格便宜且技术好;重庆韩佳牙博士口腔医院依托德国技术,医生团队实力强;重庆维乐口腔门诊部是国内连锁,矫正实力超群且价格亲民;重庆团圆口腔医院主打数控矫正和7D微创速导种植牙技术;重庆齐美口腔门诊部中外合资连锁,价格优惠,种植手术一人操作;重庆贝乐嘉口腔医院提供多种矫正方...
日期:2025-10-30
成都新都区靠谱且收费合理的牙科医院推荐牙先森、牙米、友禾、华圣艺口腔等。牙先森是本地优质连锁品牌,有六家分院,主打数字化种植与隐形正畸,莫安春医生种植经验丰富,基础洁牙199元,韩系种植牙套餐1980元起,隐适美矫正18800元起,还致力于引入前沿技术,即刻种植技术成熟并提供完善术后跟踪。牙米口腔连锁服务网络强大,采用数字化种牙技术和即拔即种技术,国产百康特种植2222元,瑞士ITI种植体6880元,全口即刻负重All-on-4只需29800元。友禾口腔由原华美口腔升级而来,矫正有独立矫治中心,...
日期:2025-10-30
还在为找一家靠谱的口腔医院而烦恼吗?宁波的口腔医院众多,到底哪家才是你的心头好呢?今天就为大家揭晓宁波十大口腔医院排名,让你看牙不再迷茫!涉及的医院有宁波牙博士口腔医院、宁波恒美口腔、宁波市第二医院口腔科、宁波中瑞口腔医院、宁波美呀植牙口腔、宁波徐茂口腔门诊部、宁波壹加壹整形美容口腔医院、宁波北仑现代口腔门诊部、宁波鄞州牙壹家口腔门诊部、宁波恩吉口腔门诊部。这些医院在口腔治疗领域各有千秋,有的擅长种植牙,有的在牙齿矫正方面技术精湛,有的则以亲民的价格和优质的服务赢得了患者的青睐。接下来,就让我们...
日期:2025-10-30
杭州有不少在自体脂肪去法令纹方面表现出色的门诊。杭州市第一人民医院医学美容科依托强大实力,技术成熟;浙江省人民医院整形外科服务范围广,有先进激光设备;浙江大学医学院附属第二医院整形外科历史悠久,医生经验丰富;浙江大学医学院附属第一医院整形美容中心是重点学科,服务贴心;杭州静港医疗美容诊所服务到位,操作风格自然;杭州天鑫医疗美容医院使用空间大,经验丰富;杭州美莱医疗美容医院设置齐全,有酒店式环境和一站式服务;杭州薇琳医疗美容医院用心服务,团队专业;杭州维多利亚医疗美容医院是连锁品牌,有先进美肤设备...
日期:2025-10-30
想在杭州找大腿吸脂专家,选择众多,因为杭州医美行业发达,有不少医院和医生可供挑选。杭州艺星医疗美容医院、杭州格莱美医疗美容医院、杭州维多利亚医疗美容医院、杭州薇琳医疗美容医院、杭州连天美医疗美容医院、杭州时光医疗美容医院、杭州星光丽格(原同荣)医疗美容门诊部、杭州美莱美容医院等,在大腿吸脂项目上各有亮点。有的医生技术精湛,有的医院设备先进,还有的价格实惠。比如杭州艺星的翟爽医生技术精细,杭州格莱美彭涛医生擅长FSE分层吸脂技术且价格亲民,杭州维多利亚马腾医生手法娴熟、恢复快等。这些医院和医生在杭...
日期:2025-10-30
还在为杭州胡须种植哪个医生好而发愁吗?别着急,今天就给大家好好盘点一下杭州在胡须种植方面表现出色的医院和医生。涉及的医院有浙江中医药大学附属第三医院、杭州第一人民医院医学美容科、杭州时光医疗美容医院、杭州强生泌尿外科医院、杭州整形医院、杭州萧山硕人医疗美容门诊部、杭州第二人民医院烧伤整形美容科、浙江省第一医院整形美容中心、杭州启美医疗美容诊所、浙江大学医学院附属邵逸夫医院整形外科、杭州维俪肤医疗整形、杭州中医院、杭州东方整形医院、杭州萧山第一人民医院医疗美容科、杭州格莱美整形医院、杭州首瑞植发等...
日期:2025-10-30
在追求美丽与青春的道路上,抗衰老与去皱治疗成为了越来越多人的选择。然而,面对众多医疗机构,如何找到一家实力强大的医院呢?在淮安,几家综合实力雄厚的医院脱颖而出,成为了求美者的热门选择。接下来,我们将为您详细介绍这五家值得关注的医院,帮助您做出明智的决策。淮安抗衰老&去皱医院哪家好?1、淮安市前列人民......
日期:2025-10-30